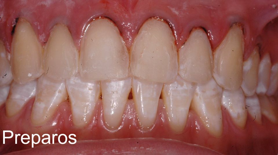
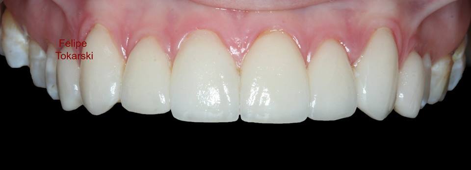
Existem várias formas de melhorar um sorriso, uma boa opção a ser considerada e a da Faceta Estética. Trata-se de um procedimento rápido e quando bem indicado proporciona resultados muito bons.
Agende uma consulta e descubra se seu caso pode ser resolvido com facetas estéticas.


